摘要
人类的生长具有受环境、激素和遗传因素影响的多因子特性。虽然多因子作用于个体最终身高和肢体发育,但遗传因素具有决定性的作用,其中的一个基因为矮身高同源框(short stature homeobox, SHOX)基因。自1997年发现SHOX以来,关于SHOX基因的知识迅速增多。现在,我们已经了解到SHOX单倍体不足影响骨端的发育,是矮身高的重要原因。目前估价的新生儿SHOX突变发生率约1/1000,使该基因的突变成为生长障碍和骨畸形的最普遍的遗传缺陷。SHOX的杂合突变所涉及的疾病有马德隆(Madelung)畸形、Leri-Weill软骨骨生成障碍(77%),特纳综合症(66%),特发性矮身高(3%);在兰格(Langer)骨端发育异常病人(100%)已经鉴别出SHOX基因的纯合突变。早期识别SHOX单倍体不足的X线表现特征可能是诊断的关键。在本文中,我们总结各种SHOX单倍体不足疾病的遗传和临床特征,介绍这些疾病的X线影像特征和生长激素实验治疗的结果。
人类的生长受到环境(营养和传染性疾病)、激素(生长因子及其受体)和遗传因素的影响,后者在个体最终身高和肢体发育中具有决定性作用。在1997年,两个科学家小组同时发现了一种遗传因子-矮身高同源框(short stature homeobox, SHOX)基因。德国的Rao et al.首先将其命名为SHOX基因;因该基因位于性染色体X(Xp22)和Y(Yp11.3)短臂远端的拟染色体区域1(PAR1),美国的Ellison et al称其为拟常染色体框成骨基因(pseudoautosomal homeobox-containing osteogenic gene ,PHOG)。SHOX编码292和255个氨基酸的蛋白质(分别为SHOXa和SHOXb),因为SHOX逃逸了X的失活,健康个体(46,XX 和46,XY) 双拷贝的SHOX表达来自每条性染色体,在有活性的和失活的X与Y染色体上表达等位基因。
该文综述SHOX 的正常功能,描述与SHOX单倍体不足的肢端骨异常。我们特别强调腕部马德隆(Madelung)畸形、兰格肢中部发育不良(Langer’s mesomelic dysplasia,LMD)、Leri-Weill软骨骨生成障碍(Leri-Weill dyschondrosteosis,LWD)、特发性矮身高(idiopathic short stature,ISS)和特纳综合症(Turner’s syndrome,TS)的X线表现特征。也讨论了SHOX单倍体不足相关疾病的病人以生长激素(growth hormone,GH)治疗时X线表现的改善。
人类胚胎原位杂交分析证明,在第一和第二咽弓和发育中的远端肢体骨骼中表达SHOX mRNA(即,上下肢的骨组织,包括腕部、桡骨、尺骨、胫骨和股骨远端)。人类胎儿(n=7,妊娠12-40周期间)生长板的免疫组织化学分析显示,由12周开始至足月生长板的静止带、增生带和肥大带表达SHOX。对儿童期生长板的研究表明,SHOX mRNA的表达遍布生长板整体,静止带、增生带和肥大带表达SHOX蛋白。在软骨细胞静止带中,SHOX蛋白的功能可能是软骨细胞分化的抑制物,延迟软骨细胞由增生带向肥大带的进展。在成年小梁骨骨质疏松,也发现了显著的SHOX表达水平,证实了具有成骨细胞转录激活因子的作用。临床观察提示,SHOX可能与雌性激素和成纤维细胞生长因子受体3相互作用,在生长板内调节软骨细胞分化。
体外实验显示,在骨肉瘤细胞和软骨细胞中SHOX表达引起细胞周期的停滞和凋亡,说明了SHOX在调节软骨细胞分化过程中的作用。在早期鸡肢芽和发育的肢体中表达SHOX,进一步确证了SHOX在软骨、骨分化和肢体发育中的作用。总之,这些研究说明了SHOX在软骨功能和骨发育中的作用。但是,它在调节骨个体发育、代谢和生长中的确切作用仍然不清楚。
个体骨成熟受到内在遗传成分和性腺雌性激素的支配,SHOX通过作为线性生长促进因子和肢体远端生长板融合与骨成熟的抑制因子而发挥重要作用。因此,SHOX抵消了雌性激素的骨成熟作用。血清雌性激素浓度随男女青春期而增长,在类似年龄上女性雌性激素水平高于男性。
在仅有基因的单一功能拷贝而不能生成足够的基因产物(即蛋白)时发生遗传性单倍体不足,因此导致疾病状态。单倍体不足导致疾病的基因是达到正常发育所需的两个功能等位基因。单倍体不足可能以不同种方式出现:基因突变中断了生成产物的信息,基因双拷贝之一缺失,或是细胞生成的蛋白产物不稳定,或被细胞所降解。因为杂合子(一条突变和一条正常的等位基因)显示出表型效应,所以单倍体不足是不完全或部分显性的病例之一。
已经发现,SHOX单倍体不足是LWD、TS和一定比例的ISS病人普遍矮身高的分子学基础。最初,在对一名ISS儿童和TS病人X染色体DNA拟常染色体区域1(影响显性线性生长的重要的剂量-敏感基因座)缺失定位时发现SHOX突变。至今,几项研究证实了SHOX 是数种生长障碍疾病的候选基因,这一点在后文中详细讨论。SHOX突变或缺失的病人有程度不同的四肢变化和生长损害,导致宽大的表型谱,中肢典型受累(桡骨、尺骨和胫骨、腓骨的短中肢)。SHOX 基因缺失引起短中肢矮身高和LWD中的马德隆畸形、TS的各种躯体特征,以及少数ISS病例(表1)。完全的基因突变占SHOX突变的80%,其余为各种点突变。研究表明,SHOX单倍体不足可能是增生软骨细胞过早终末分化而进入肥大表型,加速了肢体远端骨生长板的较早融合,导致线性生长损害。此外,性腺雌性激素对未成熟软骨具有加速成熟的作用,也使其易感生长板融合过早和骨的成熟。因此SHOX单倍体不足的生长障碍和骨病变在女性居多,并以影响青春期速度的形式出现。这些在青春期更加明显的骨病变通常见于早熟女孩,因其在相对较早的年龄上暴露于性腺雌性激素,在男性没有或症状轻微。

最近的报告证明,SHOX过量(SHOX三个或更多的拷贝)以及性腺雌性激素缺乏与连续生长而最终高身高有关。目前已在先天性和特发性脊柱侧凸(高身高)椎体生长板中鉴别出了SHOX过量,特发性脊柱侧凸患者的SHOX表达为先天性(n=3)的11倍之多(p=0.027)。在一名病人的研究中,SHOX三倍拷贝与乳房无发育有关,尽管使用了高剂量的雌性激素治疗。性腺发育不全女性生长形式和身体比例的纵断研究证明,这些病人的高身高主要归因于继续生长而导致的长腿,由于SHOX过量和性腺雌性激素缺乏,以大致固定的生长速度通过青春发身期,进入青少年后期。高身高和青春期发育不良是诊断SHOX过量的关键。这些结果与TS的骨评价、人类胚胎发生的表达分析共同说明,SHOX为肢体远端生长板融合和骨成熟的抑制因子,抵消了雌性激素促进骨成熟的作用。
SHOX突变或缺失与各种表型表达有关,其范围由短臂(92%)、双侧马德隆畸形(73%)、矮身高(54%),到女性比男性更为严重的软骨骨生成障碍的完全表型。在来自14个国家的综合研究中,Rappold et al.筛选出一大组与散发或家族性矮身高无关的矮身高儿童(n=1608名),估价了基因型与表型之间的关系。他们报告,有68人(4.2%)存在SHOX突变或缺失:完全缺失48人(70.6%),部分缺失4人(5.9%),点突变16人(23.5%)。详细的检查发现,在进入研究的病人以及有或无SHOX缺失的家庭之间,某些骨的畸形和畸形征兆,例如短前臂和短腿、肘外翻、马德隆畸形、高腭穹和肌肉肥大存在显著的不同。全部基因缺失或基因内SHOX失效突变可能无表型的差异。同样的SHOX突变可能出现LWD综合症或ISS表型,提示了SHOX表型存在复杂的基因型与表型的异质性。这种现象可以由修饰基因、外成基因相互作用,以及随机效应的存在来解释。
SHOX缺失的临床特征,甚至在同一家庭的受累成员之中,表现出显著的表型可变性。一般而言,女性受累更甚于男性,骨骼的缺陷倾向于随青春期而恶化。SHOX缺乏的X线表型特征包括有,粗糙的小梁骨、胫腓骨近侧端干骺连续、异常的肱骨结节、桡骨和胫骨弓形变化、短掌骨/干骺端开放、腕部骨排列变化、桡骨头的三角形化(表2,图1-3)。在某些研究的LWD和TS病例,未检测出特定的SHOX突变,可能是由于其它基因的参与。在下文中,将进一步详细说明与SHOX单倍体不足相关的各种异常的遗传与X线表现。


图1. (A) 一名10.5岁SHOX突变和软骨骨生成障碍女孩左手X线片,远侧桡骨骺出现倾斜变化。(B)和(C)分别为左右腕前后位X线片。(D)为13岁时右腕侧视X线片,表现出双侧马德隆畸形(右腕更明显一些)。双侧桡尺骨距离增加,桡腕关节呈V形。桡骨远侧干骺端仍然开放,但中间部分融合。两侧腕都在桡腕关节处成角,右腕尺骨也出现了正向变异。

图2. (A)一名13岁X和Y染色体复杂易位(46,X,der(X),t(X;Y)(p22.3;q11.2)引起SHOX缺失而矮身高的女孩左手X线片,骨龄与生活年龄相一致。(B)和(C)分别为右前臂前后位和侧位X线片,尺骨表现出轻微的后半脱位,腕骨角度轻微增加,尺骨两侧都有很小的缩短和轻微负向变异。

图3. 一名13岁骨发育不良和脊柱侧凸矮身高女孩的SHOX单倍体不足。(A)在~16岁左手骨龄稍提前。(B)右腕表现出尺骨的负向变异和腕移位。(C)左前臂侧位X线片表现出马德隆畸形的特纳综合症特征。桡骨弓弯,远侧倾斜成角,尺骨出现显著的负向变异。
兰格中肢发育不良(Langer mesomelic dysplasia,LMD)
LMD最早由Langer在1967年报告,将严重肢体畸形归因于尺骨和腓骨发育不良。LMD是一种很少见的、然而很好区别和容易识别的中肢发育异常,目前已经了解到与SHOX缺乏有关。受累个体因遗传而全部缺失,或遗传SHOX基因突变的双拷贝,引起不太严重而更普遍的LWD-软骨骨生成障碍的一种形态。因此,兰格中肢性侏儒症的父母和所有后代必然有软骨骨生成障碍,除非这名病人为偶发突变。
LMD特征为严重矮身高、极度肢中部缩短,通常伴有肢根缩短和前臂马德隆畸形(表3)。LMD患者也表现出颚发育不全。极矮的身高主要是由于下肢的缩短(表3)。X线诊断部位在四肢,特别是前臂和腿的中段,桡骨、尺骨发育不良和发育不全,以及程度较低的胫骨与腓骨。下肢的肢缩短比前臂更明显,严重马德隆畸形表现出显著的桡骨和尺骨缩短与弓弯(图4),以及腕骨的继发性畸形。胫骨短、宽,中间部分弓弯,远侧端倾斜;腓骨薄、近侧端缩短。虽然所有的长骨受累,但前臂和小腿的受累比股骨和肱骨更严重,明显地不成比例。某些LMD病人的肱骨可能缩短和变厚,股骨有宽大的股骨髁。Fukami et al曾报告了17名LMD病人的临床和分子学数据,这些病人的平均身高为-6.18 SDS,出现各种不同的与SHOX不足有关的骨异常。其中1/3的病人由纯合子点突变引起,1/3为纯合子缺失,其余未检查。在2002年,报告了一名母亲及其儿子的SHOX基因杂合缺失,都表现出严重而非典型形式的软骨发育不良,上下肢端表现出LWD的特征。


图4. (A,B)一名17岁的兰格中肢骨发育不良女性的左前臂X线片。
相对于手的长度,桡尺骨缩短。马德隆畸形可见腕骨角度减小、桡骨远侧端的尺侧倾斜,桡骨头发育不全,未脱位,但尺骨远侧端出现前错位.
早在妊娠17周可进行宫内超声LMD诊断。LMD胎儿的生长板组织学分析表明,增生带紊乱,带内软骨细胞失去分层排列,进一步强调了SHOX对生长板内软骨细胞的分层、增生和分化的重要作用。鉴别诊断包括某些罕见而异类形式的中肢发育不良,主要为遗传的常染色体显性综合症,包括Nievergelt综合症、Robinow综合症、Pfeiffer-Reinhardt综合症(尺骨和腓骨结构不良综合症)、Werner综合症(成人早衰症)、Ellis-van Creveld综合症(艾-范二氏病:软骨外胚层发育不良症)、Campailla-Martinelli综合症和Maroteaux综合症。临床上称Nievergelt综合症为肢中部侏儒症,前臂和腿畸形,其X线表现特征为前臂和腿骨呈偏菱形,出现多种桡尺、跗骨和腕骨的骨连接。Robinow型的肢中部发育不良病人表现出前臂缩短、颅面异形的侏儒,并外生殖器异常。Pfeiffer- Rheinhardt型的肢中部发育异常的临床特征为矮身高、前臂弓形,腓骨缩短,X线表现为尺骨远端和腓骨近端的发育不全。胫骨和桡骨发育不全型病人的临床特征包括,继发于腿缩短的矮身高、多指、拇指缺如,X线表现为胫骨和髌骨发育不全、腓骨相对正常、可变的掌指骨发育不全。在Werner型肢中部发育不良病人可见类似的X线表现,也普遍可见指骨硬化的骨量减少以及软组织的钙化。临床上以矮身高、胫骨发育不全和拇指缺如来识别Werner综合症。
LMD的鉴别诊断也包括以常染色体显性或隐性遗传的肢端肢中发育不全。这些发育异常包括肢端发育异常、貓體发育异常、肢端骨发育障碍、1和2型毛发-鼻-指(趾)综合征、Saldino-Mainzer发育异常、严重的假性甲状旁腺功能减退、颅骨外胚层发育不良和Grebe发育异常。
The differential diagnosis for LMD also includes acromesomelic dysplasias, which can be inherited as autosomal dominant or recessive traits. These dysplasias include acromicric dysplasia, geleophysic dysplasia, acrodysostosis, trichorhinophalangeal dysplasia type 1 and 2, Saldino-Mainzer dysplasia, pseudohypoparathyroidism of several types, cranioectodermal dysplasia, and Grebe’s dysplasia.
Leri-Weill软骨骨生成障碍(LWD)
LWD最早由Leri和Weill在1929年报告,是一种拟染色体显性遗传的肢中部发育不良矮身高综合症,约50%-100%的LWD病人因完全缺失(约2/3的SHOX不足病人)或基因内点突变(约1/3的SHOX不足病人)而SHOX单倍体不足所引起。已经注意到了同一家庭中相同突变的表型变异,LWD症状表现不同,其范围由轻到严重,具有一定的性别和年龄差异。大部分受累个体因小腿和前臂缩短而矮身高,头的大小正常,伴随有马德隆畸形。LWD主要出现在有生长障碍及临床特征的青春期少年或成年女性,例如女性两侧马德隆畸形比男性更严重。一项研究曾经发现,某些男性有过度发达的肌肉(肌肉肥大)。LWD的主要X线表现包括,马德隆畸形,伴随以前臂缩短、桡骨弓弯、桡尺关节的距离增大、桡骨骨骺的尺侧半过早融合、远侧尺骨背侧错位、远侧桡骨骺三角形化并尺骨缩短、远侧排腕骨椎体化、腕骨楔入桡尺骨之间的畸形(图5,图6),表4列出了详细的放射学特征。Munns et al证实,与未受累的兄弟姐妹相比较,男女SHOX单倍体不足的最终身高分别矮0.8SDS(5.3cm)和2.4 SDS(14.4cm)。

图5. 一名伴有Leri-Weill软骨骨生成障碍的13岁矮身高男孩,手部 (A,B) 和前臂(C,D)X线片表现出典型的马德隆畸形,伴有桡骨弓弯。这些特征包括,两侧的桡骨缩短,远侧干骺端内侧成角和远侧骨骺的异常形状。两侧腕骨存在部分的联合。

图6. 一名患有Leri-Weill软骨骨生成障碍的13岁女孩,双侧马德隆畸形,伴有正向尺骨变异。两侧腕部后前位(A, B)和侧位 (C, D)X线片表明,腕骨角度减小、腕骨楔入远侧桡尺骨之间。桡尺之间的距离加大,两侧远侧尺骨向后侧错位。可见桡骨远侧骨骺呈三角形及生长板形成角度。

虽然有家庭数据的LWD个体相对较少,但仅LWD和SHOX突变的女性身高SDS与父母身高中值有显著性差异。严重腕部畸形的儿童显著矮于轻度畸形者。Ross et al研究了SHOX突变、身高损失与马德隆畸形之间的关系,来确定SHOX单倍体不足对LWD表型的作用,在研究中也分析了年龄、性别和女性青春期对LWD表型的影响,受试者包括经证实的SHOX异常的21个LWD家庭(43名3-56岁的受累个体,32女、11男)。在受累个体中SHOX缺失和点突变分别为81%和19%。与其它的研究一样,Ross et al也看到了许多LWD个体存在马德隆畸形(74%),具有一定的年龄、性别差异(女性发生率和严重程度大于男性)。
当与TS相比时,LWD病人的马德隆畸形发生率较高,但两人群的臂外偏角增加、高颚穹和脊柱侧凸的发生率相似。SHOX缺失和突变是所有LWD病例的病因,而SHOX单倍体不足仅是部分,而不是全部TS病人身高损失的病因。Kosho et al报告了LWD中马德隆畸形的女性优势和年龄影响的性质,在青春期之前马德隆畸形可能并不出现。Kosho et al进行的生长评价研究说明,在青春期前LWD病人沿标准生长曲线生长,但青春期生长突增减弱而导致矮身高。相比之下,非LWD病人在青春期之前沿-2 SDS生长曲线生长,表现出正常或过大的青春期生长突增。成熟度的评价也说明LWD病人的成熟相对较早。他们的研究表明,作为SHOX单倍体不足的后果,雌性激素可能对骨骺生长板发挥加速成熟的作用,过早融合而加速了骨病变的发展。Clement-Jones et al对已知SHOX突变(排除TS)病人的临床检查进行了回顾性研究,在某些个体发现肘外翻、短第四掌骨、短颈和脊柱侧凸。这些病人无TS,但却具有TS的某些骨特征。虽然TS和LWD都有SHOX单倍体不足和相关的矮身高与骨异常表型特征,但TS与LWD的区别在于额外的生长损失、卵巢功能衰竭和特别的骨特征。
马德隆畸形
在1878年马德隆报告,马德隆畸形是损害腕部活动和美观的痛苦疾病。马德隆畸形为一种具不完全外显率的常染色体显性遗传,占所有手部异常~2%。由于缺失和点突变,很高比例的SHOX单倍体不足(18名病人中的12名)与马德隆异常有关。在儿童期中期至儿童期后期或青春期初期,临床上可见两侧马德隆畸形,在女性更多见。在Blanco et al所研究的14名病人中,有8名青春期发育延迟或月经紊乱。马德隆畸形的放射学特征为桡骨缩短、弯曲和远侧骨骺的三角形化(表5,图7,图8)。马德隆畸形起因于桡骨骺生长紊乱,导致桡骨弯曲、长骨生长部过早融合、以及尺骨和桡骨远侧生长部的掌侧部分发育延迟。这些变化导致桡骨远侧关节面掌侧和尺侧倾斜,手和腕向掌侧平移,尺骨向背侧错位以及腕骨的楔入。马德隆畸形可能影响整个桡骨或只影响桡骨远侧(图9)。随桡骨的全部受累,可见更严重的畸形,伴随与身高降低和桡尺骨的缩短。在侧位X线片上桡骨弯曲>10度或桡尺关节间隔≥4mm时出现全部桡骨的形态异常。通常,桡骨远端弓弯,典型地出现于掌侧方向,而尺骨继续以直线正常生长。特别是,马德隆畸形以桡骨构型的局部变化为特征,两侧桡骨的弓弯与缩短,伴以尺骨远侧的背向半脱位,引起远侧桡尺关节的不稳定性和上下肢端对称缩短。马德隆畸形的其它特征包括桡骨远侧关节面的倾斜度增加,随月骨向近侧和掌侧位移和尺骨头的背侧半脱位而腕骨呈三角形。其它的变化包括尺骨、腕骨(腕骨楔入)、关节软骨、韧带和腱的异常。

图7. (A) 一名15.5岁的SHOX突变矮身高女孩的左手腕X线片. 可见明显的马德隆畸形即缩短的第四、第五掌骨,骨龄与年龄一致。(B) 左手腕的放大片。

图8. 一名16岁的SHOX单倍体不足矮身高男孩手部X线片. 骨龄符合男性19岁标准,骨龄提前;可见两侧马德隆畸形,第四、第五掌骨稍缩短。

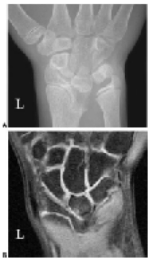
图9. 一名14岁女孩的左手腕马德隆畸形.
在(A) 可见桡骨远侧生长部内侧过早融合,(B)为相应的磁共振图像。
可见远侧桡尺关节的腕骨楔入和远侧尺骨的背向半脱位,腕骨角度减小和近侧腕骨的半脱位。
马德隆畸形可能单侧或双侧。单侧出现虽然少见,但可能因外伤、感染或生长板损伤而出现。尺骨的缩短和手骨萎缩提示了外伤后的原因而不是先天形成。马德隆畸形可能是典型的,或极少非典型的。典型的畸形中桡骨的倾斜朝向掌骨和尺骨面,而非典型的畸形中桡骨远侧端的倾斜朝向背侧,腕骨向背侧位移,尺骨远侧端向前脱位。马德隆畸形的病因可分类为:外伤后的、发育不良的、遗传的或特发性病因。外伤后的马德隆畸形可能由桡骨生长部的损伤或未成熟的关节过多反复负荷所引起,例如少年体操运动员。发育不良的病因可能由多发遗传性外生骨疣综合症或遗传性甲-骨发育不良综合症所引起。大部分马德隆畸形继发于LWS或其它软骨骨生成障碍,桡骨缩短特征可能是由于软骨发育不全。马德隆畸形是TS的一种偶然特征,但并不与单纯GH缺乏或特发性矮身高普遍有关。马德隆畸形常常与额外的异常有关,特别是发育延迟、月经紊乱以及性染色体畸变。马德隆畸形可能单独出现,或作为其它临床综合症的一部分而出现,例如Funderburk肢中性肾炎、Kapur综合症、Silengo综合症、C型短指畸形、多发性外生骨疣综合征、以及骨干性软骨发育不全和环境原因(外伤和感染)。
与马德隆畸形有关的其它身体异常包括,发生在第6和第7颈水平上的颈肋综合征和克罗恩氏病。特发性马德隆畸形更常见于双侧,其严重程度不对称。可能出现早熟的骨性关节炎和腕管综合症等并发症。自发地伸肌断裂虽然少见,但也可能出现。
特发性矮身高
虽然GH缺乏、生长激素受体(GHR)缺乏和遗传性突变仅是小部分矮身高的骨骼紊乱病因,但在绝大部分儿童,导致矮身高的生长障碍仍然是特发性的。ISS是儿童期频发(3%)的疾病,以显著的矮身高(<-2 SDS)和生长速度持续较低为特征。ISS儿童出生时的孕龄体重、孕龄身长,身体比例和食物摄取均正常。ISS的儿童个体也未表现出任何生化的或特定延迟生长的疾病,例如慢性全身性疾病、或骨骼、内分泌和染色体异常疾病。
ISS不同于生长障碍,因为生长障碍指的是相对于其年龄、性别和发育阶段来说生长不良的儿童。两种最普遍的ISS形式包括遗传性矮身高(骨龄不延迟,儿童的生长在其靶身高范围之内)和体质性生长延迟(骨龄延迟)。ISS儿童有正常的生长速度(常常处于正常范围的下限)和血清胰岛素样生长因子I(IGF-I)和IGF结合蛋白3浓度。
最近已经证明,SHOX突变对某些ISS病人起一定的作用。迄今为止,发现~2-3%的ISS病人有SHOX缺失或点突变。Rappold et al在900名矮身高儿童的调查中分析了SHOX单倍体不足出现情况,发现在分析基因内突变的750名病人中,在9名病人鉴别出SHOX编码区域的突变(寂静、错义和无义突变)和小部缺失。在研究基因缺失的150名病人中,有3名病人基因全部缺失。由这900名ISS病人中,Rappold et al鉴别出2.4%的病人SHOX突变,其中80%(相当于全组的2%)为基因完全缺失携带者。其他研究者也得出了类似的数据,1%-2%的ISS病人SHOX完全缺失。Schneider et al分析了118名LWD病人和1500名以上的ISS病人的SHOX缺失情况,发现34%的LWD病人和2%的ISS病人SHOX缺失。Musebeck et al在50名矮身高儿童(其中35名为ISS,32女、3男)研究了SHOX突变/缺失发生率,但使用荧光原位杂交方法的染色体检验未发现SHOX缺失,而在12名有额外前臂异常,例如肘外翻、短掌骨或马德隆畸形的病人中,有5名检测出一条性染色体SHOX缺失。根据ISS病人SHOX发生率和大部分矮身高病因为特发性的假设,估计总体人群中SHOX缺失率为1/2000至1/4000之间。
少数研究报告,ISS病人中SHOX单倍体不足有较高的发生率。Morizio et al发现未知病因的矮身高病人中,7.1%的有SHOX缺失。Huber et al在84名ISS病人中研究了SHOX异常的发生率,以及SHOX异常个体的马德隆畸形发生率,发现15%的ISS病例存在SHOX单倍体不足,其中部分缺失的为2%,完全缺失的79%,点突变20%。他们将ISS病人中高比例的SHOX发生率归因于研究中男孩的比例较大。
左手腕X线片除了评价骨龄之外,放射学检查通常对ISS无作用。但对及早识别SHOX特征的细微变化是有益的。通过仔细检查,在某些SHOX单倍体不足的ISS病人,应鉴别的X线表现包括有小腿的肢中部缩短、远侧桡骨骨骺和/或腕骨的轻微三角形化、远侧腕骨排的椎体化以及桡骨远侧尺骨缘的透明(表6)。

特纳综合症(Turner Syndrome,TS)TS最早由Henry Turner在1938年报告,是一种最普遍的染色体异常,其发生率为1/2500活产女性。TS的细胞遗传学特征为,某些或所有躯体细胞一条X染色体的完全或部分缺失。约60%的为45,X核型,其余为镶嵌型45,X/46,XX,或各种X染色体的结构性缺失。至今,已有几项研究指出,SHOX单倍体不足与TS出现特异骨骼特征有关。TS个体仅有一个SHOX拷贝。SHOX突变儿童的家庭研究多次表明,有相同突变的年龄较大成员表现出TS的轻微骨特征。Clement-Jones et al.提出了与SHOX相关的生长损害表型表现为,TS颅面异常,例如高颚穹、小颌畸形、短颈、耳异常发育和骨异常,例如肘外翻、膝外翻、短第四掌骨。其它的临床研究报告,SHOX单倍体不足可能导致额外的骨异常,包括肢中部畸形和马德隆畸形。Ross et al报告LWD对身高的损害约占TS的2/3,与TS相比,LWD的马德隆畸形发生率更高。而两人群臂外偏角的增加、高颚穹和脊柱侧凸发生率相似。90%以上的典型TS女孩可见矮身高。除此以外,其它的身体表现有与众不同的面部特征,例如耳发育异常、高颚穹、小颌畸形、发际线低、短宽的蹼状颈、盾形胸、水肿(手和脚)、指甲发育不全或过度凸起(表7)。TS的其它典型特征为导致不育的生殖腺发育不全、心脏(杂音和主动脉缩窄)和肾异常(特别是马蹄形肾)。手脚可见的骨骼异常有:膝外翻,短第四和/或第五掌骨/跖骨(60%),马德隆畸形,手、脚、肘、股骨骨质疏松,腕骨/跗骨的融合,桡腕关节部位成角而腕骨角度减小,远节指骨呈鼓槌状,短第五中节指骨,第四指指骨不成比例的长,腕骨呈粗糙的网状,腕骨面积小和高弓足(图10,图11)。下肢的X线特征表现包括膝外翻(70%)、胫骨坪中部凹陷,近侧胫骨内侧面呈蘑菇状凸出(外生骨疣样)(60%),胫骨干骺端和骺不规则,髌骨向外侧脱位,髌骨发育不全,胫距关节倾斜。TS病人的自身免疫疾病发生率增高,特别是慢性甲状腺炎。TS的鉴别诊断包括SHOX缺失引起的疾病(LWD和LMD),努南综合症(常染色体显性遗传,男女均可出现)、自身免疫性甲状腺炎、XX和XY型性腺发育不全、XY性腺缺如综合症、淋巴水肿、多發性翼狀膜综合症和Klippel-Feil畸形(先天性短颈综合征)。


图10. (A)一名12.5岁特纳综合症矮身高女孩左手腕部典型的马德隆畸形.其他表现包括骨质减少和发育不全,及第四掌骨轻微缩短.(B)追踪至13岁的X线片,桡骨远侧骨骺尺侧成角和尺骨远侧的桡侧成角,导致V形腕部。月骨向近侧平移。(C,D)在14岁时,桡骨远侧骨骺的尺侧成角形成V形腕骨,桡腕关节骨角度与腕骨尺侧方位发生变化。

图11. 一名13岁的特纳综合症女孩.
左手腕X线片说明了尺骨偏离的马德隆畸形,可见远侧桡骨、尺骨和腕骨的骨质减少。
骨龄(10岁)延迟于生活年龄.
SHOX单倍体不足病人的GH治疗
无法解释的矮身高使医生对生长疾病的诊断与治疗处于困境。GH缺乏的发生率为1/4000至1/10000,远不如SHOX不足那样普遍。~1%的身高低于3rd百分位数儿童GH缺乏或有GH、生长激素释放激素(GHRH)、IGF-I基因或各自受体的突变。GH缺乏可能是先天性的,也可能是获得性的。先天性的病因与GHRH或GH合成,或各自受体的失活突变相关,以常染色体隐性遗传。这些疾病在MRI上可见为垂体柄发育不全、空蝶鞍综合症或垂体后叶异位亮点。获得性病因包括产伤、渗透性病变(组织细胞增多症)、赘生物(颅咽管瘤)、手术、放射或头部损伤。对于GH缺乏和特纳综合症、ISS、小于孕龄儿出生的儿童、慢性肾衰竭和目前的SHOX不足等非GH缺乏疾病,GH治疗是有效的。
治疗SHOX单倍体不足可有两种干涉方案:重组人生长激素(rhGH)治疗和应用促性腺激素释放激素类似物(GnRHa)。已经证明GH治疗有效地促进线性生长,rhGH是目前使用的促进生长药物。迄今为止,已经有5篇关于以rhGH治疗SHOX单倍体不足的报告。总起来看,这些研究证明以rhGH治疗男女性SHOX单倍体不足取得了一定的短期生长反应益处(表8)。
Binder et al选择了68名SHOX单倍体不足的特发性矮身高儿童(身高<-2 SDS),来确定rhGH作为生长促进剂的效果。所有病人骨龄的进展与年龄相符合,X线表现的发展很小,马德隆畸形未恶化。在这些研究中,虽然使用的rhGH剂量范围较为宽大,但均未观察到副作用,所有的数据提示较高的rhGH剂量与较大的短期生长效果相关。在同一病人组,Binder et al研究了rhGH(1.0 IU /kg/wk)对两名SHOX点突变儿童(5.9岁和8.4岁) 的治疗效果。在第一年,两名儿童表现出很好的生长突增,生长速度分别为9.5和9.4cm/yr。但是下肢的生长不如躯干和上肢,说明rhGH能够有效地促进身高生长,但具有生长不成比例的倾向。Munns et al在2名SHOX单倍体不足女孩,研究了以rhGH治疗2年对身高和骨密度(BMD)的影响,并评价了LWD。在2年的治疗中两名病人的身高SDS都增长。以rhGH治疗,1号病人臂展和上肢测量指标相对增加,而2号病人下肢程度相对增长。治疗中,骨龄增加但无BMD的恶化和其它副作用,提示在SHOX病人的2年rhGH治疗是安全和有效的。Ogata et al在SHOX单倍体不足病例(n=3,1名7岁男孩和两名6岁女孩)研究了GH(0.5 IU 或 0.17 mg/kg/week)治疗的长期效果。这些病人有生长速度下降的矮身高,有或无短第四掌骨和轻微的马德隆畸形。在治疗的第一年中,2名病人身高显著增长,而且在青春期前身高中等增长。一名女孩治疗后桡骨轻微缩短,曲率处于临界线上;另一名女孩对GH和GnRH治疗未出现可辨的反应。在17岁时,后者病人为矮身高(4.1SDS),双侧肘外翻、马德隆畸形和完全的乳房发育。该研究说明,GH治疗对大部分疾病(包括TS)的SHOX单倍体不足病人身高增长效果不同,在进入青春期后的GnRH治疗不足以预防类似马德隆畸形的骨病变发展。Shanske et al对10岁SHOX不足和ISS男孩以GH治疗的研究证实了rhGH改善病人身高生长的研究结果。为了研究GH治疗SHOX不足矮身高儿童的效果,Blum et al在52名SHOX单倍体不足、身高<3rd百分位数的青春期前的受试者(24男,28女;3.0-12.3岁),进行了一项随机化的、多中心临床实验研究,将别人随机分为GH治疗组(n=27)和非治疗对照组(n=25),在2年的研究期间,GH治疗组身高SDS表现出显著的增长,提示了GH有效促进不同形式的SHOX单倍体不足病人的线性生长。
至今,所有以GH治疗SHOX单倍体不足病人的报告确证了第一年所达到的身高增长,但是,治疗≥48个月的结果却是不同的,除了Ogata et al研究中的3号病人外,其它的病人证实了rhGH的短期益处,在治疗12个月时身高SDS平均增长0.8(n=8),在24个月时平均增长0.6(n=3)。这些数据提示,在12个月治疗后rhGH的效果可能减小。此外,只有在长骨生长部尚未融合时GH治疗才有效。然而,文献中报告的以rhGH治疗SHOX单倍体不足病人的例数很少,因此,尚需在大样本人群进一步地研究。

结论
本文综述了SHOX的基因型与表型的关系,以及TS、LWD、LMD、ISS和马德隆畸形矮身高儿童的X线典型特征。SHOX单倍体不足和雌性激素在生长板及其不同的区域内具有复杂的相互作用。部分SHOX不足主要影响远侧桡骨和胫骨生长板,而完全性SHOX不足对这些骨骼的影响更为严重,而且也损害尺骨和腓骨生长板。这些疾病的临床和X线表现的可变性与年龄相关,随年龄的增长X线特征表现逐渐出现,在8岁以前大部分患者未出现腕部马德隆畸形。同时出现下列身体/X线表现可能提示应评估SHOX:臂展/身高比例下降,坐高/身高比例增加,体重指数在一般水准以上,马德隆畸形,肘外翻,短或弓形的前臂,肘部尺骨脱位,出现肌肉肥大。畸形的严重程度可能与生长不足相关,早期的X线诊断能够及早的治疗干涉。X线摄片在识别ISS的SHOX单倍体不足,特别是早期变化中的作用尚待进一步的研究。定量的X线片骨骼分析,例如掌指骨模式特征分析,以及骨特征分析,例如干骺端的透明、桡骨远侧端骨骺尺侧缘发育不全和桡骨成角或缩短,可能够早期识别SHOX相关疾病。应当获取父母手部和前臂X线片,来确认基因型和表型表现。此外,SHOX数据库能够综合回顾一定疾病的特定X线表现特征。
彻底的临床检查是选择SHOX缺失病人关键的第一步。对于出现一种或多种软骨骨生成障碍或特纳综合症骨异常表现的矮身高儿童和成年人,需要进行SHOX缺失或突变的提示性分析。在前臂和下肢X线片上详细评价细微变化是关键。一般而言,对于下述儿童医生应当考虑SHOX缺失:(1)特发性矮身高,特别是低于由父母身高所预期的身高;(2)家族性矮身高,特别是家庭中是否女性特别突出;(3)前臂和小腿不成比例的缩短。
因为在ISS中SHOX的发生率很低,所以必须要有选择性的筛查这些病人的SHOX单倍体不足。这种选择应限定于前臂异常的矮身高个体,建议仔细检查骨龄X线片和前臂X线表现来评价细微变化。进一步的诊断研究应确定ISS病人的早期放射学征兆,以作为适当治疗干涉的提示。
【金骨龄】专业骨龄及生长发育研究机构,中国骨龄行业标准制定者张绍岩教授任首席科学家,致力于提供适合中国当代少年儿童的骨龄评价技术和生长发育评价服务,独立研发了适用于医疗、体育、司法及母婴行业的骨龄软件 !
【热门文章推荐】